Deciding to keep baby with congenital heart disease and reversed organs ‘toughest moment of my life’
Sign up now: Get ST's newsletters delivered to your inbox
Emmanuel Pang (centre in pink), a six-year-old with situs inversus totalis, with his doctor Dr Chen Ching Kit (centre in purple), his parents Kenneth Pang, 47, and Pang Peei Nei, 42, his younger brother Sammuel, four and elder sister Jane, nine, pictured on June 19, 2023.
ST PHOTO: MARK CHEONG
SINGAPORE - When her doctors ordered another detailed foetal scan when she was 22 weeks’ pregnant, second-time mum-to-be Pang Peei Nei sensed something was amiss.
The baby – a boy – was found to have narrow valves in the right chamber of his heart, which meant that he would need open-heart surgery soon after he was born. He also risked needing surgery every 10 years, depending on how his valves developed.
But to the disbelief of the hospital’s doctors, the screening also revealed that the foetus’ organs were not growing where they should.
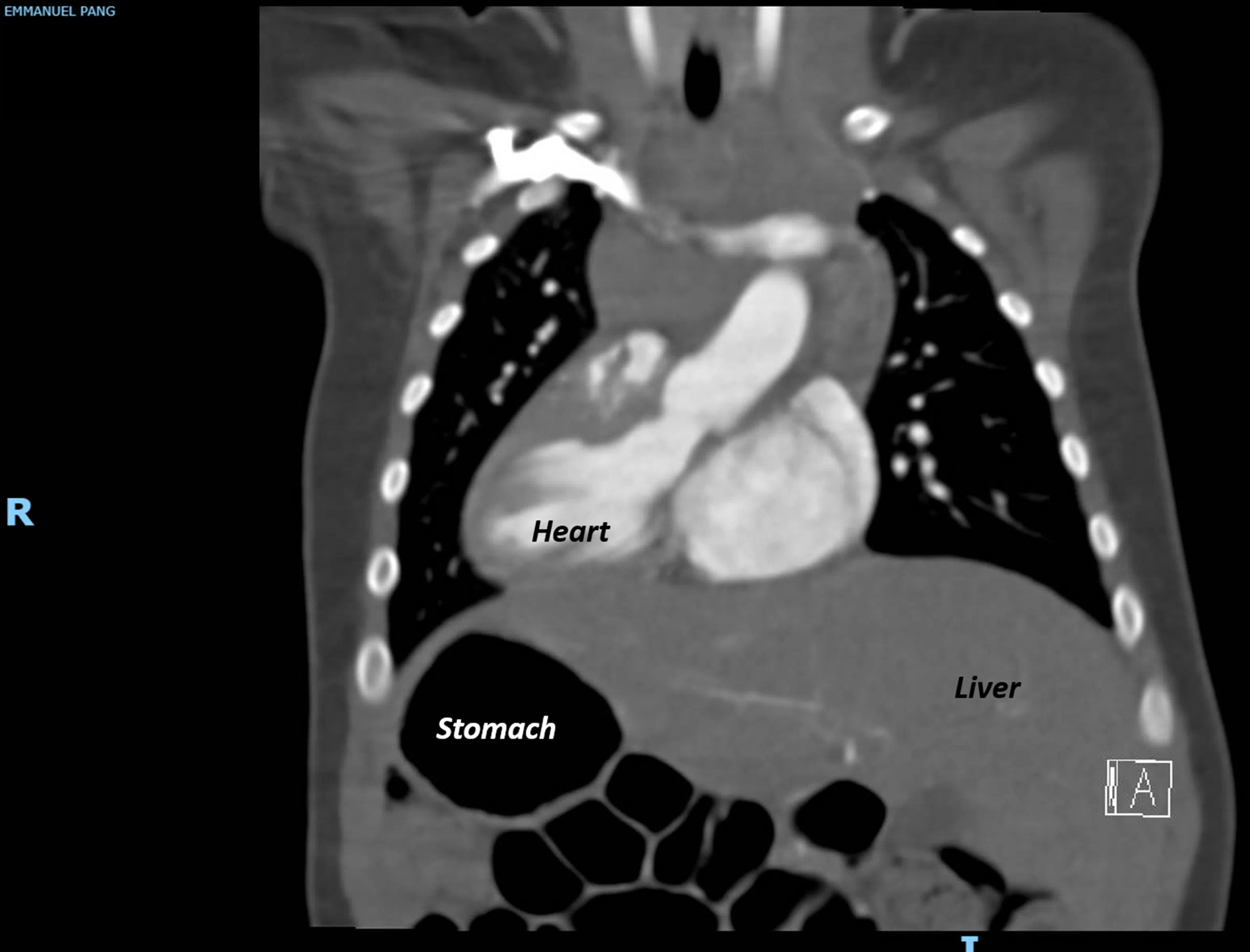
After multiple checks, the baby was diagnosed with situs inversus totalis, a rare genetic abnormality where organs in the chest and abdomen develop in mirror-image positions of normal humans.
The condition, which affects about one in 10,000 births and tends to appear in males, was reported by Chinese media in May when a baby was diagnosed with it.
In Singapore, parents are offered the option of terminating a pregnancy at up to 24 weeks if a structural abnormality is detected in the foetus.
Spurred by her Catholic faith to keep her child, Mrs Pang recalled of her experience in 2016: “I think the two weeks when I needed to make a decision to continue or terminate the pregnancy were the toughest moments in my life.”
“I questioned myself: If I strictly went by faith, was I being too selfish? Because if I had a baby I had to take care of 24/7, as said by one of the gynaecologists we consulted, I might end up neglecting my daughter,” the housewife added.
Still, Mrs Pang, 42, and her husband Kenneth Pang, 47, decided to press forward amid fear and uncertainty.
Mr Pang, who is a director of a gas firm, said: “It was still difficult because we heard that, depending on how well his heart’s valves grow, he could need surgery every 10 years.”
When baby Emmanuel was delivered by caesarean section on Nov 23, 2016, he was taken to the intensive care unit for thorough checks.
Immediately, a slew of check-ups and planning began to determine when the complex surgery for the child was possible.
The operation had to happen before he turned one, to minimise risks of complications during recovery.
The baby’s congenital heart disease would also result in low oxygen levels, which his doctors wanted to remedy as soon as possible.
Emmanuel Pang (in pink), a six-year-old with situs inversus totalis, with his doctor Chen Ching Kit (standing, left), parents Kenneth Pang, 47, and Pang Peei Nei, 42, brother Sammuel, four, and sister Jane, nine.
ST PHOTO: MARK CHEONG
Being in such a state for a prolonged period can result in long-term complications that affect brain development, growth and activity, said Dr Chen Ching Kit, National University Hospital senior consultant at the division of paediatric cardiology who was the first to detect situs inversus totalis in Emmanuel.
While situs inversus totalis alone has no medical disadvantage, the disorder can complicate certain invasive medical procedures.
Dr Chen said: “Usually, the heart is pointing towards the left, but with Emmanuel’s organs being mirror-image, everything was flipped, which is out of the convention for a surgeon.”
While situs inversus totalis alone has no medical disadvantage, the disorder can complicate certain invasive medical procedures.
PHOTO: CHEN CHING KIT
Weeks of preparation included printing 3-D life-size models of Emmanuel’s heart, making the doctors one of the first in Singapore to apply the technology for such a purpose at the time. The models were pivotal in helping the surgeon to visualise and practise the procedure.
These efforts ended up halving the time needed for Emmanuel’s operation, which took place just 15 days shy of his first birthday.
His condition has improved by leaps and bounds since, and the Primary 1 pupil now only requires biannual check-ups with Dr Chen.
He also enjoys dancing and playing with his older sister and younger brother.
However, the six-year-old will occasionally have to sit down to rest during strenuous exercise, and sometimes vomits when he jumps too much, his parents said.
The nausea is possibly due to his heart condition, as it is a form of overexertion, said Dr Chen.
Mrs Pang said: “Emmanuel asked about his surgical scar when he was in K1, but we didn’t really explain his condition to him. I just told him that he went for open-heart surgery before, and that he is a special boy loved by God.”
Like many parents of children with congenital heart disease and situs inversus totalis, the couple still do not know what caused Emmanuel’s condition, as genetic testing has yielded no answers.
But with what Mrs Pang has learnt so far, she actively contributes her experience and knowledge with an informal support group for patients visiting Dr Chen.
She said: “There was a pregnant woman whose baby had congenital heart disease, and she seemed to be really helpless. So, I made an effort to visit her.
“At the end of the day, I wanted to give her the comfort and love that mummies really need, because in such situations, we can feel totally lost.”


