‘Headspin Hole’: How one of breakdancing’s flashiest moves can have an uncomfortable side effect
Sign up now: Get ST's newsletters delivered to your inbox
Researchers in Denmark have recently identified a rare condition called the headspin hole, an overuse injury specific to breakdancing.
PHOTOS: PEXELS, BMJ CASE REPORTS 2024
DeeperDive is a beta AI feature. Refer to full articles for the facts.
Those of you who were ‘b-boys’ or ‘b-girls’ in the 90s and early 2000s may be surprised to learn that one of breakdancing’s most iconic moves - the headspin - could have an unexpected side effect.
In a case report published on Oct 10 the medical journal BMJ, researchers in Denmark have identified what has been termed the “headspin hole”, which they say are an overuse injury specific to breakdancing.
The condition, which begins as hair loss and can develop into a significant bump, is also known as the “breakdance bulge” among dancers.
The dynamic athletic manoeuvre - where a person balances on their head and spins his or her body around vertically, typically without any additional support - is often used in breakdancing and the Afro-Brazilian martial art Capoeira.
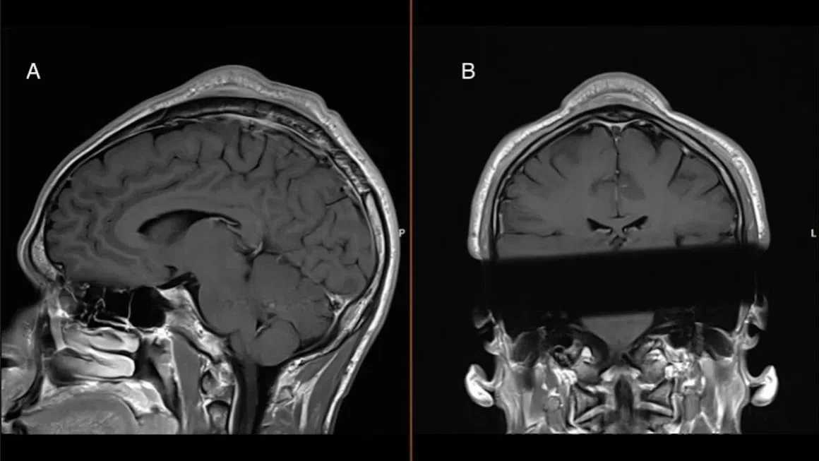
In the case report, a man in his early 30s who had been breaking for almost two decades developed a benign tumour over an inch thick on his scalp from years of spinning on his head.
A man in his early 30s who had been breaking for almost two decades developed a benign tumour over an inch thick on his scalp from years of spinning on his head.
PHOTO: BMJ CASE REPORTS 2024
According to Dr Christian Baastrup Sondergaard, a neurosurgeon at Rigshospitalet in Copenhagen, the repeated friction between the scalp and the floor, combined with the pressure of headspins, leads to inflammation and scar tissue buildup. Over time, this can result in a prominent bulge.
The patient - who was not named in the report - had experienced discomfort and had resorted to wearing hats in public to hide the bump.
Following surgery to remove the growth, he expressed relief, saying it was great to go out without needing to cover his head.
“People don’t even notice it anymore,” he said, noting that his head now looks normal.
Despite some awareness within the breaking community, the medical literature on headspin holes remains scarce.
Online forums like Reddit’s r/bboy community have seen discussions on this issue, with dancers sharing tips like wearing padded beanies or using gel pads to protect the scalp during headspins.
Breaking took centre stage at the 2024 Paris Olympics, where performers were judged on factors like execution, musicality, originality, and technique.


