Needle found in Chinese toddler's heart after parents sought treatment for chronic cough
Sign up now: Get insights on Asia's fast-moving developments

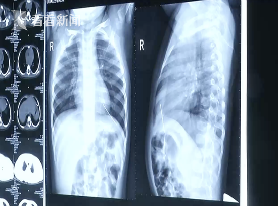
The needle, measuring 2mm in diameter, was found in the child's left heart ventricle.
PHOTO: SINA WEIBO
Parents of a one-year-old Chinese girl were shocked to find a 4.5cm long needle wedged in their child's heart after taking her to the hospital for a chronic cough.
The couple, whose surname is Xie, told local media that their daughter Chenchen often coughed at night and had developed a fever in the past weeks.
They decided to take her to Wuhan Children's Hospital on June 26 when her condition did not improve even after having cold medicine.
According to Taiwan's China Times, doctors took two X-rays and found a foreign object in the girl's chest cavity.
Through further checks, it was determined that the object was located in Chenchen's left heart ventricle.
Chenchen's mother later told the hospital's cardiovascular surgeon Pi Mingan that the object looked like a needle that she regularly uses.
"The needle is stuck in the heart and if it is not taken out, it can be quite dangerous," Dr Pi said.
That night, Chenchen went through an emergency operation and the needle, measuring 2mm in diameter, was successfully removed.
Dr Pi added that the needle appeared rusty, indicating that it may have been in the girl's body for some time.
She has since been transferred to the hospital's general ward and is recovering well, the report said.
Chenchen's mother said that she enjoys sewing, though she is uncertain how the needle ended up in her daughter's body. She added that she is glad her daughter is safe and will now keep a closer eye on her.


